Unser qualifiziertes, motiviertes Team

Unsere modernen Praxisräume
sind technisch auf dem neuesten
Stand; sorgen für Ihren Komfort
und die bestmögliche Behandlung.

Modernste Zahnmedizin
und Implantologie

Wissenschaft & Forschung

Endodontologie

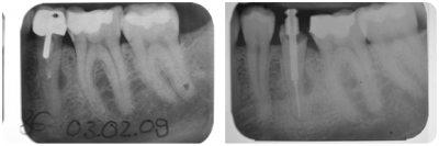
Bild 1: alte insuffiziente Wurzelfüllung mit seitlicher Entzündung; Bild 2: neue Wurzelfüllung mit Titanschraube;

Endodontie ist die Lehre von der Behandlung des Wurzelkanalsystems.

In früheren Zeiten hat man um jeden Preis versucht, Zähne durch Wurzelbehandlungen zu erhalten. Da bei jeder Wurzelbehandlung aber nur der gerade Kanal aufbereitet werden kann und sich im letzten Wurzeldrittel immer Seitenkanäle befinden, die nicht versäubert werden können, ist auch die beste lege artts Wurzelbehandlung kein Garant für ein dauerhaftes Ruhigbleiben des Zahnes.

Durch moderne Techniken wie die elektronische Längenbestimmung und die maschinelle Aufbereitung kann aber die Erfolgsrate deutlich gesteigert werden. In unserer Praxis werden diese Zähne meist mit Kunststofffüllungen versorgt und eine teure Überkronung vermieden

Für eine langfristige Versorgung des Zahnes muss in einem persönlichem Beratungsgespräch entschieden werden wie die Erfolgsaussichten und die strategische Planung eventuell durch Implantate oder konventionelle Zahnersatzmethoden zu beurteilen sind.